ORTHODONTICS
矯正歯科
歯並びを治して健康で美しい口元に
HEALTHY AND BEAUTIFUL
『前歯だけ少し並べたい』『口元を下げたい』『なるだけ目立たない矯正を希望』
歯並びがみんな違うように、一人ひとり『矯正治療』に望むことは違います。『あなたのための矯正治療』を実現するために、お話を聞かせてください。
『総合歯科×歯科衛生士×矯正』
だからできる事
CAN
矯正歯科では『保険のクリーニング、虫歯の治療はできない』『抜歯は他院で抜いてきてください』となることが多いです。
当院は『総合歯科×歯科衛生士×矯正歯科医』がタッグを組んであなたの矯正ライフを全力でサポートします。
また、当院の強みとして
● 矯正歯科より安心な価格設定、基本料金で審美ブラケットを使用
● 矯正治療が終わったらオフィスホワイトニングを1回サービス
などのサービスがございます。
気になる方はお気軽に無料矯正相談へいらしてみてください。
土日も診療、急患対応は週7日可能
当院は祝日以外は毎日診療していますので、いつでもご連絡をお待ちしています。急患対応は調整料はかかりません。
矯正歯科より安心な価格設定、基本料金で審美ブラケットを使用
矯正基本料金に上乗せされるコストを、当院では一般歯科部門が担っているため、適正価格で矯正治療を始める事ができます。(無利子無利息で月々の分割払いが可能)
相談料、診断料はかかりません。また、オプション料金なしで審美ブラケットを付ける事ができます。
お得な定額費用制度(トータルフィー制度)
矯正治療では、装置の製作・調整や保定期間中のメンテナンスなど、治療の進行に応じてさまざまな費用がかかります。当院の「トータルフィー制度(定額費用制度)」は、矯正開始から保定終了までに必要な費用をあらかじめ一括で設定するしくみです。
- 治療計画の段階で総額を提示
- 装置費用、調整費、保定期間のメンテナンス費用まで全て含む
- 治療期間が延びても追加料金なし
これにより、「総額がわからない」「期間が長引いたらどうしよう…」といった不安を解消。安心・明朗な費用体系で、計画的に歯並びを整えていただけます。
定額費用制度のメリット
矯正をもっと身近に、もっと快適に!矯正治療の定額制スタート!
- 『トータルフィー70万円(税別)』で調整料、インプラントアンカー込みに!
- さらにセルフライゲーションブラケット+ホワイトワイヤーも標準仕様
を2025年4月よりスタート!
より快適に、治療時間・期間を短縮できる、最新の矯正治療を体験しましょう。

- 仕事、学校の都合で治療期間が延びてしまっても費用が一定
- 定額なので、お支払方法を選べる(定額制ではないと都度追加料金がかかる)
他院では追加料金となる
- 月々の調整料金(他院では通院した回数分かかることが多い)
- セルフライゲーションブラケット(痛みが少なく、審美的にも優れた装置)
- ホワイトワイヤー(目立たないワイヤー)
- インプラントアンカー(口元を下げる装置)
が基本料金に入っている

見えない矯正(裏側矯正、マウスピース矯正)に対応しています
表側矯正の際も成人式、ブライダルの際は前歯のブラケットをはずして仮歯を付ける事が可能です。(要相談)
-
-
治療前

-
治療中
-
清潔な診療室
(プラズマ滅菌機を導入、通常滅菌不可能なプラスチック製品まで滅菌)
滅菌できるものは全て滅菌しています。診療器具、ワイヤーも診療時に用意します。
矯正治療が終わったらオフィスホワイトニングを1回サービス
綺麗な歯並びと白い歯で最高の笑顔を手に入れましょう。
-
-
治療前

-
治療中
-
矯正治療中の虫歯、歯周病予防に特化
セルフケアグッズを最初の1セット目はプレゼント!ご自身に合った口腔清掃グッズを見つけましょう。
毎月矯正治療時にクリーニングを行いますが、矯正歯科では一度で終わりになることが多い歯磨き指導を当院では磨けるようになるまで!何度でも!保険適応で受ける事ができます。
また、最新の唾液検査でお口の3大トラブル(虫歯、歯周病、口臭)のリスクを把握することができます。(別途1,000円)
当院の矯正治療
ORTHODONTICS
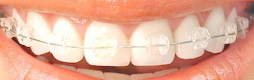
表側矯正
- 基本料金70万円(税別)処置料金込み
歯1本ずつにブラケットという小さな器具をつけ、そこにワイヤーを通して力をかけて歯を動かす方法です。「矯正」というとこの装置をイメージされる方が多いのではないでしょうか。
以前からある一般的な装置であり、治療法が確立されているため、難症例といわれるような歯並びでも治療できます。
金属製の装置だとギラギラと目立ってしまいますが、現在は白や透明の目立たないものもあるため、見た目の問題も解消できます。当院は基本料金でホワイトワイヤーです。
矯正歯科より安心な価格設定で、基本料金で審美ブラケットを使用しています。
- メリット
-
- 様々な歯ならびに対応可能。
- 発音に影響が少ない。
- デメリット
-
- 正面から見える。(審美ブラケットとホワイトワイヤーで以前よりは目立たない)
- 歯磨きがしずらい。
マウスピース矯正「シュアスマイル」
- 基本料金30~70万円(税別) 処置料金込み
透明なマウスピース型装置を歯列にはめて、約2週間に1回、装置を交換しながら歯を動かす方法です。薄さ0.5mmほどの透明な装置が歯列にフィットするため、目立たないという大きな特長があります。お仕事などの関係で周りの人に気づかれずに歯並びを整えたい方におすすめです。
以前は不快なシリコンで長時間の歯型取りが必要でしたが、今は3dスキャンで快適にマウスピースを作製することができます。
自分で取り外せるので、装置のない状態で食事や歯磨きができ、装置の交換も自分で行えるので、少ない通院回数で治療を続けられます。
- メリット
-
- 目立たない。
- 取り外し可能。
- 口腔内が傷つきにくい。
- デメリット
-
- 最初は発音しずらい。(一週間で慣れる)
- つけないと動かない。(一日20時間以上の着用)
裏側矯正(ワイヤー矯正)
- 120万円(税別)処置料金込み
歯の表側ではなく舌(裏)側にブラケットとワイヤーをつけて歯を動かす方法です。
パッと見ただけでは装置が見えないので、見た目を気にされる方や、お仕事などの都合で装置を見られたくないという方、結婚式などのライフイベントが控えている方に適しています。
表側矯正に比べてより専門的な知識や技術を要するため、治療費が高額になり、対応できる医院も限られますが、表側矯正と同じくほとんどの歯並びを治せます。
- メリット
-
- 表側はイヤだがマウスピースをつける自信がない方へ
- 抜歯にも対応
- デメリット
-
- 最初は発音しずらい(一週間で慣れる)
- 歯磨きがしずらい
ハーフリンガル(ワイヤー矯正)
- 100万円(税別)処置料金込み
なるべく目立たない装置がいいけど料金もできるだけ抑えたい・・という方はハーフリンガルという矯正があります。
料金を抑えるために下は表側矯正ですが、下の歯は唇で隠れる&ホワイトワイヤーを使用します。
- メリット
-
- 目立たせたくないが、 費用も抑えたい方へ
- 上は裏側、下は表側(ホワイトワイヤー)
- デメリット
-
- 最初は発音しずらい(一週間で慣れる)
- 歯磨きがしずらい
マウスピース矯正「リュクシアアライナー」
- 基本料金30万円~(税別)調整料込み
透明のマウスピース型装置を交換しながら歯を動かす方法で、装置の見た目は、シュアスマイルとほぼ同じです。奥歯の治療や抜歯をともなう治療には適用できず、軽度な凹凸や前歯のすき間の治療に適しています。
装置を交換するたびに歯型をとり、次の段階の装置を作ります。そのため、矯正中に虫歯の治療をするような場合も、そのつど現状を反映して軌道修正しながら、適したマウスピースを作れます。
- メリット
-
- 装置が目立たない。
- 国内で製造しているため、治療開始までが早い。
- 痛みや違和感がほとんどない。
- 矯正中に虫歯治療ができる。
- デメリット
-
- 複雑な症状には適用できない。
- 装置の交換ごとに歯型をとるため、通院回数が多くなる。
- 1日の装着時間を守らないと、計画どおりに歯が動かない。
- 治療を受けられる歯科医院が限られる。
小児矯正
- 基本料金5万円~(税別)
お子様の『生えてきた永久歯が並んでない・・』
そんな時は筋機能療法を行います。
日中1時間+就寝時マウスピースを使用して口の筋肉のトレーニング、ならびに軽度の歯列不正を改善します。
他院では30万以上することが多いマイオブレース(マルチファミリー)矯正を当院では
5万円(税別)
で受ける事ができます。反対咬合(受け口)の治療は30万円(税別、調整料込み)
ただし、適切な開始時期は症状によって異なるため、お口の中を実際に見てから判断する必要があります。お子さんの歯並びが気になりましたら、早めにご相談ください。
- メリット
-
- 歯並びだけでなく顎骨の位置や大きさも治せる。
- 奥歯を後ろに動かして歯がきれいに並ぶスペースを作れる。
- 悪習癖をなくし、歯の成長を正しい方向へと促せる。
- 将来、永久歯を抜歯する可能性が低くなる。
- デメリット
-
- 本人が積極的に治療に取り組めないことがある。
- 中学生以降まで治療が続く可能性があり、期間が長引くことがある。
小児矯正のメニュー
症状や年齢に合わせてさまざまな装置を使い、より効率的な治療ができます。ここでは、その一部をご紹介します。
-
歯性反対咬合の治療
リンガルアーチ -
骨格性反対咬合の治療
上顎前方牽引装置
矯正治療費が変動しない定額制だから選べるお支払い方法!
- 例1)装置装着時に77万円(税込)を現金orカードで一括でお支払い
- 例2)月々のお支払い約3万円から~で矯正したい場合
-
- 装置装着時に77万円(税込)をカードで分割払い (カード会社により2~24回払いが可能)
- ※別途カード会社による分割手数料がかかります(カード会社による)
- 例3)月々のお支払い約6,800円から~で矯正したい場合
-
- 装置装着時に77万円(税込)をデンタルローンでお支払い(当院のデンタルローンは12~120回払いが可能)
- ※別途ローン会社による分割手数料がかかります(5.8%)
ライフスタイルにあわせて矯正をスタートできます。
費用について
※装置代金(リテーナー代含む)+月々の調整料金がかかります。
| 項目 | 料金(税別) |
|---|---|
|
相談料 |
無料 |
|
検査料 |
5,000円 |
|
部分矯正(前歯だけ、片顎のみ) |
300,000円 |
|
唇側矯正装置 |
700,000円 (調整料込) |
|
マウスピース矯正 |
300,000~700,000円 (調整料込) |
|
舌側矯正装置 |
1,200,000円 (調整料込) |
|
ハーフリンガル |
1,000,000円 (調整料込) |
|
小児矯正(マイオブレース) |
50,000円 (処置料金込) |
|
小児矯正(反対咬合の治療) |
300,000円 (処置料金込) |
※ご家族が当院で矯正されている場合は家族割で5万円引きとなります。
基本料金に含まれるもの
矯正用ミニインプラント:0円(本数に関わらず)

ホワイトワイヤー :0円

治療後サービスホワイトニング:0円
-
-
治療前

-
治療中
-
基本料金に含まれないもの
- 矯正の為の抜歯:5,000円/1本(薬代込み)
- 保険のクリーニング、虫歯治療:保険の料金
矯正治療の流れ
FLOW
治療の流れ(ワイヤー矯正)
1検査予約
矯正検査の予約を取りたいとご連絡ください。CT撮影、唾液検査、口腔内・顔貌写真撮影を行います。(5,500円、約30分)
2装置セット
表側矯正の場合、装置を上顎から付けていきます。(約1時間)(抜歯予定の方は抜歯が終わっていると早く並びます)
3矯正治療
1カ月に1度ワイヤーを調整して歯を並べていきます。(1回約45分)
4矯正治療
下顎は上顎がある程度並んだら、または抜歯が終了次第装置を付けていきます。(約1時間)
治療の流れ(マウスピース矯正)
1予約
矯正検査の予約を取りたいとご連絡ください。CT撮影、唾液検査、口腔内・顔貌写真撮影を行います(5,500円、約30分)
2検査
マウスピース矯正の場合、お口の中をスキャンします。(気持ち悪い粘土の歯型取りは必要なし)
3診断~発注
1カ月後マウスピースができるので取りに来ていただきます。(1回約30~45分)歯を並べるスペースが不足している場合スペースを作る処置をします。(抜歯予定の方はこのタイミングで抜歯をします)
4装着~保定
1カ月後、マウスピースのとりはずしに慣れたタイミングで 歯の表面にアタッチメントを取り付けます。(最初からつけると取り外しがむずかしいため)
症例紹介
CASE
-
矯正歯科治療の症例
-
治療前

-
治療後

ご要望 ・問題点 開咬と歯並びを治したい 患者さま情報 26歳 男性 治療期間・治療回数 1年半 治療費 75万円(税込) 主な治療内容 フルブラケットシステム リスク・副作用 装置を外した後、保定装置を指示どおりに使用しないと後戻りが生じる可能性が高くなります。 -
